Back to Results









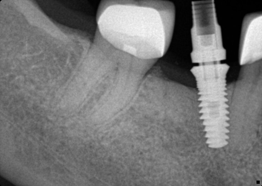
AmerOss
Dicoa
Body Shape
Tapered body
Thread Design
Threaded
Additional Features
CollarCurved apexFlared flangeReverse buttress
Need a surgical guide for this implant?
We design precision surgical guides compatible with AmerOss implant systems.
Request a Quote